小肠
小肠(英語:small intestine、拉丁語:)是消化系统的一部分,平均長達6-7米,是消化管中最長的一段,从在胃部后面一直延伸至大肠,是进行食物消化与吸收的主要器官。对于无脊椎动物而言,一般会采用消化系统或者大肠来描述整个肠道。本篇文章主要针对人类消化系统,但对于消化过程描述也适用于胎盘哺乳动物。小肠的主要作用适用于吸收食物中的营养成分与矿物质,它在消化和吸收营养物质方面起着重要作用。例外情况主要存在于牛或与其类似的哺乳动物,关于这一类动物的消化系统请参见反刍。
| 小肠 | |
|---|---|
![]() 图示小肠及其附属结构 | |
![]() 小肠在人体内位置 | |
| 基本 | |
| 屬於 | 消化道 |
| 系統 | 消化系统 |
| 动脉 | 肠系膜上动脉 |
| 静脉 | 肝門靜脈 |
| 神经 | Celiac ganglia, 迷走神经[1] |
| 淋巴 | 肠淋巴干 |
| 标识字符 | |
| 拉丁文 | Intestinum tenue |
| MeSH | D007421 |
| TA98 | A05.6.01.001 |
| TA2 | 2933 |
| FMA | FMA:7200 |
| 格雷氏 | p.1168 |
| 《解剖學術語》 | |
解剖学
小肠分为以下三部分:

在外科手术中主要认为小肠是由空肠与回肠组成[2],这两段肠在解剖学中也被称作系膜小肠。
小肠的总长度在物种之间与同一物种内都存在很大的差别,同时还与和肌肉紧张度有关。当肌肉处于松弛状态时(例如人死亡后),小肠的长度将明显增加。由于肌肉紧张程度不同,成人的小肠长度在6到7米之间,而在人在一般時,因為肌肉收縮使小腸的長度介於3-4米之間[3]。十二指肠长度大约为12个手指的宽度总和(约24厘米),空肠大约占小肠总长度的40%,回肠则占大约60%[2]。
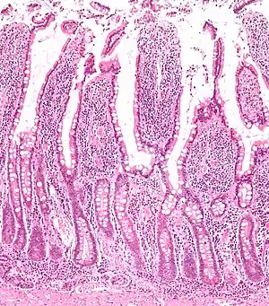
为了使消化物中的营养尽可能地被充分吸收,小肠通过环状襞(拉丁語:)、微绒毛与肠绒毛结构使其内表面面积得到了极大的扩增。环状襞使内表面面积扩大了3倍,肠绒毛使其又扩张了7到14倍,微绒毛使其扩张了15到40倍,绒毛内有丰富的毛细血管、毛细淋巴管。在肠绒毛之间还存在着肠腺(拉丁語:),使得内表面面积可以得到进一步的扩增。这些结构带来的表面积扩张使用于营养物质重吸收的小肠部分内表面面积最终可以达到200m²[4]。
十二指肠
十二指肠长约十二个手指的横径,因而得名。呈“C”形,凹内包裹胰脏头部,与幽门相连的一段管壁较薄,粘膜光滑无环形皱褶,称十二指肠球,是溃疡好发部位。十二指肠降部的内壁上有十二指肠大乳头,是胆总管与胰管的共同开口,上方约1—2厘米处有十二指肠小乳头,是副胰管开口。十二指肠腺(拉丁語:)是十二指肠中较为特殊的结构,它存在于十二指肠肠壁的粘膜下组织中,并分泌一种由重碳酸盐组成的粘液素,用于中和消化物中的胃酸。
生理功能
在胃中的食物通过幽门处的幽门括约肌进入小肠,开始小肠内的消化与吸收过程。食物在小肠内停留的时间一般是3~8小时。人体保留小肠1.1米以上勉强够用。低于1.1米则难以存活。而依靠肠外营养支撑最多维持三年,在这个过程中,肝脏也将会因为被“闲置”久而丧失功能。在大器官移植中,小肠移植因受到强烈的免疫排斥反应和严重感染的威胁,是成功率最低的器官移植之一。小肠粘膜细胞分裂、更新旺盛,但却绝少发生癌变。
消化
小肠是化学消化过程的主要发生场所,大部分在小肠工作的消化酶都是由胰脏生成的,并通过胰管进入小肠。消化酶进入肠道是受胆囊收缩素调控的,当小肠内存在营养物质时,小肠就会产生胆囊收缩素。而促胰液素也会促进重碳酸盐的产生,重碳酸盐可以用于中和来自于胃部的可能有害的酸性物质。小腸內部為鹼性。
- 蛋白质在被消化前首先会降解成肽类物质和氨基酸[5]。化学的分解过程在胃中已经开始,并在小肠中继续进行。胰脏产生诸如胰蛋白酶和胰凝乳蛋白酶等蛋白水解酶用以将大分子的蛋白质分解成肽,胰脏刷状缘酶羧肽酶一次可以处理一个氨基酸,氨基肽酶和二肽酶则产生氨基酸终产物。
- 脂质(脂肪)会降解为脂肪酸与甘油。胰脂肪酶用来切断甘油三酯的化学键,产生自由脂肪酸与甘油一酸酯,这个过程肝脏与胆囊所产生的胆汁中的胆盐会进行协助。胆盐会与甘油三酯连接并在胰脂肪酶的帮助下乳化他们。由于脂肪酶是水溶性的而饱和的甘油三酯是具有疏水性的,因此在水环境中这两者很难互相接触发生反应。胆盐首先将甘油三酯乳化后就会使得脂肪酶可以与甘油三酯接触进而断开甘油三酯中的化学键,产生更小的物质方便肠道绒毛进行吸收。
- 有些碳水化合物会降解为单糖(例如葡萄糖),有些碳水化合物(例如淀粉)则会被胰淀粉酶把化学键打断后形成低聚糖。还有一些碳水化合物将不会被小肠进行消化,而是进入大肠后由大肠中的细菌进行处理。低聚糖的处理主要由刷状缘酶完成,有些刷状缘酶(例如糊精酶和葡糖淀粉酶)将会将低聚糖进一步降解。此外还有一些刷状缘酶,例如麦芽糖酶、蔗糖酶和乳糖分解酵素。乳糖分解酵素在大部分成人体内已经不存在了,因此乳糖等多糖将不在小肠进行消化。尽管例如纤维素等碳水化合物也是葡萄糖的多聚体,但是他们将完全不会被消化。这是由于乳糖中所含的葡萄糖是β-D-葡萄糖,这与淀粉中所含的α-D-葡萄糖的化学键连接方式不同,人体内没有可以破坏β-D-葡萄糖化学键的酶,因此也就无法被消化,但是这种酶存在于某些食草动物体内以及大肠内细菌内。
吸收
经过消化的食物现在可以透过肠壁通过扩散作用进入血液,大部分营养物质都将在小肠中得到吸收。小肠的粘膜上排列着简单的柱状表皮细胞,并被名叫环状襞的结构覆盖。与褶皱结构不同的是,环状襞被认为是可以永久性进行延展和伸缩的结构,而褶皱则不是永久性的。通过显微镜可以观察到环状襞含有类似于手指形状的绒毛结构(拉丁語:),而就单独的表皮细胞而言其又含有类似手指形状的微绒毛结构。环状襞、绒毛与微绒毛的作用是用于扩大小肠内表面积,并给营养吸收提供足够的空间。
每一根绒毛都拥有毛细管网,靠近其表面还有名为乳糜管的淋巴管。绒毛上的表皮细胞将氨基酸和碳水化合物从小肠腔内运送至毛细管中,将脂质运送至乳糜管中。被吸收的营养物质将进入血管中并随血液流动被运送至身体的其他器官去制造如蛋白质等身体必需的复杂化合物。没有被消化和吸收的食物将会进入大肠。
臨床症狀
小肠是複雜的器官,有很多因素可能會影響小肠的機能,以下列出部份的因素,有些是常見的因素,甚至百分之十的人們曾受到這些因素的影響,也有一些因素非常罕見:
- 感染性疾病
- 发展性,先天性或遗传疾病
參考文獻
- Nosek, Thomas M. . . (原始内容存档于2016-03-24).
- Kuno Weise (Hrsg.). . Georg Thieme Verlag. 2004: 582. ISBN 978-3-13-130841-2.
- Renate Lüllmann-Rauch. . Georg Thieme Verlag. 2006: 375. ISBN 978-3-13-129242-1.
- . [2013-03-13]. (原始内容存档于2013-02-06).
- D B Silk. . [2013-03-14]. (原始内容存档于2020-05-14).
- . 郭卜樂 CPO生理健康網. [2014-05-04]. (原始内容存档于2013-08-03).
然後這些分解後的營養物質被小腸(主要是空腸)吸收進入體內
- . Kmuh.org.tw. [2014-05-05]. (原始内容存档于2013-12-13).
- . Medicaldb.haoyisheng.com. [2014-05-05]. (原始内容存档于2014-05-05).
- . Mingpaohealth.com. [2014-05-05]. (原始内容存档于2014年5月5日) (中文).


