早期羊膜囊破裂
早期羊膜囊破裂(英語:,簡稱PROM)也稱為胎膜早破,是指在分娩之前發生的羊膜囊破裂[1]。若在分娩前18至24小時就出現的早期羊膜囊破裂,稱為加長早期羊膜囊破裂(prolonged premature rupture of membranes)。
| 早期羊膜囊破裂 | |
|---|---|
![]() | |
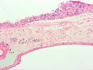
| 顯微鏡下的绒毛膜羊膜炎,特徵是粒细胞浸润(紫点部份),绒毛膜羊膜炎是早期羊膜囊破裂的危險因素之一 | |
| 症状 | 羊膜囊破裂 |
| 类型 | 妊娠併發症 |
| 分类和外部资源 | |
| 醫學專科 | 產科學 |
| ICD-11 | JA89.3 |
| ICD-10 | O42 |
| DiseasesDB | 10600 |
| eMedicine | 261137 |
若是胎兒未滿37週,則稱為未足月胎膜早破(PPROM),產婦及胎兒後續有併發症的風險較高,有1/3的早產是因為未足月胎膜早破而造成[2]。
參考資料
- . Obstetrics & Gynecology. October 2013, 122 (4): 918–930 [12 November 2014]. PMID 24084566. doi:10.1097/01.AOG.0000435415.21944.8f. (原始内容存档于2021-07-23).
- Mackeen, AD; Seibel-Seamon, J; Muhammad, J; Baxter, JK; Berghella, V. . The Cochrane database of systematic reviews. 27 February 2014, 2: CD007062. PMID 24578236. doi:10.1002/14651858.CD007062.pub3.。
This article is issued from Wikipedia. The text is licensed under Creative Commons - Attribution - Sharealike. Additional terms may apply for the media files.
