犬瘟热
犬瘟热,又称犬瘟、狗瘟, 是一种病毒性疾病,对于犬科、鼬科、臭鼬科、鬣狗科、猫熊科、浣熊科、鳍足亚目和一些灵猫科和猫科的动物(但对于家猫没有影响,猫科动物犬瘟热或猫泛白细胞减少症是只对猫有影响的另外一种疾病)有影响。这种疾病在常见的宠物,如狗和鼬身上很常见,同时它也可以感染野生动物。它是一种属于副黏液病毒科的单链RNA病毒,因此是麻疹和牛瘟的近亲。[2][3][4]尽管在很多地区进行了广泛的疫苗接种,但这种疾病仍然属于狗的主要疾病之一。[5]
| 犬瘟热 | |
|---|---|
![]() | |
| 犬瘟热病毒會造成血球細胞內形成內涵體(血液抹片,Wright氏染色法) | |
| 病毒分類 | |
| (未分级): | 病毒 Virus |
| 域: | 核糖病毒域 Riboviria |
| 界: | 正核糖病毒界 Orthornavirae |
| 门: | 負核糖病毒門 Negarnaviricota |
| 纲: | 單荊病毒綱 Monjiviricetes |
| 目: | 單股反鏈病毒目 Mononegavirales |
| 科: | 副黏液病毒科 Paramyxoviridae |
| 属: | 麻疹病毒属 Morbillivirus |
| 种: | 犬瘟熱病毒 Canine morbillivirus |
| 異名[1] | |
|
Canine distemper virus | |
历史
犬瘟热病毒(CDV)虽然和麻疹病毒很相似,但出现似乎更晚,其第一个案例是由法国兽医亨利·卡雷1905年记录的。[6]犬瘟热起初被认为与鼠疫和斑疹伤寒有关,并被归因于数种细菌。[7]该病如今影响全体家犬以及部分野生动物种群。1923年和1924年意大利人Puntoni研发出第一个犬瘟热疫苗,但他没有对大量的狗进行试验,他的工作表明,狗可以对这种疾病产生强免疫力。1950年研发出了商用疫苗,但由于使用有限,病毒仍在种群中广泛存在。[6]主要通过家犬,以前未被感染的野生动物也感染上了犬瘟热,现在已对很多食肉目以及一些有袋目动物的生存构成威胁。该病毒造成黑足鼬几近灭绝,并对袋狼的灭绝起了很大作用,并反复造成非洲野狗的死亡。[4]1991年由于这种疾病,坦桑尼亚塞伦盖蒂的狮子数量减少了20%。[8]本病毒已突变,形成phocid犬瘟热病毒,感染了鰭足類动物。[9]
感染
该病毒为单股负链RNA,可导致宿主系统感染。[10]三到六个月的小狗特别容易受到感染。[11]犬瘟热病毒可通过飞沫传播,接触病犬鼻涕、眼屎、粪便、尿液等体液6到22天后也可感染。该病毒也可以通过受污染的食物和水传播。[12][13]从感染到发病之间的时间间隔为14至18天,但感染后3到6天可能会出现发烧。[14]
犬瘟热病毒易于感染淋巴上皮细胞和神经组织。病毒最初在呼吸道淋巴组织复制,随后进入血液,感染呼吸道、消化道、泌尿生殖系统上皮细胞、中央神经系统、视神经。[2]因此,犬瘟热典型的病理特征包括淋巴消耗(导致免疫抑制和继发感染)、间质性肺炎、脑炎、脱髓鞘,以及鼻子和脚垫过度角质化。
病毒的死亡率在很大程度上取决于受感染的狗的免疫状态。小狗的死亡率最高,其肺炎、脑炎等并发症更为常见。[13]患犬瘟热性脑脊髓炎的成年犬可能会出现前庭系统疾病。[15]约15%的犬炎症的中枢神经系统疾病是由于犬瘟热病毒导致的。[5]
病情发展
接触两天后,犬瘟热病毒首先出现在支气管淋巴结和扁桃体内。第二或第三天病毒随即进入血液。[13]第一轮急性发热往往开始于感染后约3至8天,常伴有白细胞,尤其是淋巴细胞,数目降低,以及血小板数减少。这些迹象可能还伴有厌食、流鼻涕、眼屎增多。第一轮发烧通常在96小时内迅速消退,第11或12天开始第二轮发烧,并持续至少一个星期。随后常出现胃肠道和呼吸系统问题,并会伴有继发性细菌感染。脑和脊髓炎症,或称脑脊髓炎,要么与此伴生,要么随后发生,要么与这些问题完全独立地发生。有时会出现脚垫加厚,并常出现上腹部vesicularpustular病变。脚垫加厚的患病动物通常会出现神经系统症状。[2][9]约有一半会患脑膜脑炎。[9]
诊断
犬只尤其是未接种疫苗的犬只出现发热、呼吸道症状、神经系统体征、脚垫加厚等症状,就强烈表明感染犬瘟热。然而,有些发热性疾病和犬瘟热的很多症状相匹配,而直到最近才有可能区别犬传染性肝炎、疱疹病毒、副流感病毒、钩端螺旋体病。[9]因此,用各种方法在狗的结膜细胞中发现该病毒,可以给出一个明确的诊断。对患有犬瘟热性脑脊髓炎的较大龄犬只,诊断可能更加困难,因为许多这些狗有足够的疫苗接种史。 [15]
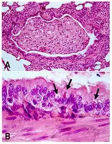
另一种确认犬瘟热的测试,是用刷状缘快速刷动膀胱内衬的移行上皮细胞。这些感染的细胞中有染上洋红色的包涵体。在犬瘟热早期,约90%的膀胱细胞呈包涵体阳性。 [18]
预防
有一些针对家犬和家养矇眼貂的犬瘟热疫苗,在很多地区要求对宠物强制接种。接种疫苗的类型应对接种动物有效,否则动物可能因疫苗而感染疾病。根据病犬可能传播病毒的时间,应将病犬和其他犬隔离数月。[2]用消毒剂、清洁剂、干燥剂进行日常清洁,可杀灭该病毒。该病毒在室温(20-25°C)中不会存活超过数小时,但可以在略高于0度的阴暗环境中生存数星期。[19]它与其他不稳定的病毒也可在血清和组织碎片中存活更长时间。 [13]
治疗
直到最近为止,对于治疗患有犬瘟热的动物,长期以来都很悲观,而该病通常被认为癒后不良。大多治疗都只是减轻痛苦,治标不治本。对于维持现状来说,有几个因素發挥了重要作用。
大多研究和资金都集中在疫苗接种,而不是寻找治愈犬瘟热的方法。
根据一个过时的理论,发生的伤害是由于严格的自體免疫反应造成的,该观点认为犬瘟热病毒开始时侵入,但随后消除,在没有病原体的情况下,细胞因子持续攻击并伤害健康组织。基于这一理论,某些兽医采用消炎和免疫抑制药物,企图控制病情,但并不成功。
后来认为,巨噬细胞对感染的神经细胞的作用表明,自体免疫反应可能是直接由病毒存在造成的。[20]由于该病早期迹象不明显,动物主人经常是在该病进入后期(神经阶段)才寻求专家帮助,由于使用消炎药物(通常是皮质类固醇)破坏了动物的免疫系统,使得病毒扩散,为了遏制感染细胞,自体免疫反应增加。
有研究发现犬瘟热和麻疹相似,这时开始有观点认为,对相似病毒有效的疗法也会对犬瘟热有效,[20]而受感染的动物可用于开发治疗麻疹的新技术。后来有研究表明,某些治疗麻疹的传统方法也可成功运用于治疗犬瘟热,这样两病之间的相互性就得到了证实。
关于维生素A和利巴韦林对犬瘟热(以及麻疹)的疗效目前正在评估,作用模式仍有待解释。一些实验表明,维生素A和利巴韦林可能是有疗效的,但到目前为止尚未在实践中普遍采用。一些证据表明这些物质起到了间接作用,例如确认在感染期间维生素A减少,[21]这意味着它有可能是某种抗感染机制的原料。抗感染的特性[22]并不仅限于维生素A,这还是一个谜,然而,无论作用机制阐明与否,毫无疑问的是,在这一特定试验中它是有效的。
采用利巴韦林治疗犬瘟热,和维生素A的过程相同,它是治疗麻疹亚急性硬化性全脑炎的原则。第一次验证疗效发生于试管内,[23]研究观察到犬瘟热病毒对利巴韦林非常敏感,0.02至0.05微摩尔可导致其误差灾变机制,并对病毒复制起50%的抑制效果。
使用利巴韦林的主要顾虑,是其与血腦屏障相互作用的后果。由于大脑是免疫特权区域,值得关注的是利巴韦林克服这一障碍的能力。在一项对因麻疹患有脑炎的老鼠的研究中,病毒一旦进入神经阶段,血脑屏障即告失效,减少了利巴韦林在这些区域作用的限制。[24]在体内验证所有这些结果,导致对病毒感染已达神经阶段的患病动物80%的有效性。.[25]由于白细胞减少症的风险,因此运用利巴韦林要求密切监测的动物;另外,还需摄入长链三酸甘油酯(脂肪),以便更好地吸收药物[26]并保护胃组织(胃对其非常敏感)。
各种治疗方法仍在探索阶段,而医学界和兽医界广泛接受的是,通过疫苗接种来加以预防是防止疾病传播的最可靠方法。
佩吉特氏病的关系
犬瘟热病毒、麻疹、呼吸道合胞病毒、猴病毒5、第3型副流感病毒等副粘病毒一直被怀疑是佩吉特氏病(,一种对骨骼的病灶毁灭性病害)的病原体。然而,大多数研究都更直接地指向了犬瘟热病毒和麻疹。[27][28][29]一个病毒检测技术,原位逆轉錄聚合酶鏈式反應,在100%的佩吉特氏病样本中发现了犬瘟热病毒,而其他病毒检测技术准确率较低。 [30]
患病率
由于接种疫苗,社区犬瘟热发病率已大幅下降。但是,该病仍在动物收容所、宠物店等未接种疫苗的种群中继续蔓延。这对全美国农村和城市社区构成了严重威胁,影响收容所和家养犬只。尽管接种疫苗有效,但该病仍继续在全国爆发。在2011年4月,亚利桑那州动物保护协会对亚利桑那整个凤凰城地区发布了全谷的宠物健康警报。[31]
成因
犬瘟热疫情继续在美国和其他地方爆发,是由多种因素造成的。这些因素包括犬只数量过多、宠物主人不负责任。犬只过剩是动物保护协会、ASPCA(American Society for the Prevention of Cruelty to Animals)等组织每天都要面对的全国性问题。.[32]在如亚利桑那州这样有大量农村土地的地区,该问题更为严重。这些地方很多流浪狗没有接种疫苗,因此更容易感染犬瘟热之类的疾病。这些流浪狗成为病毒的宿主,把病毒散播在整个周边地区,包括城市地区。在狗公园这样有很多狗互相接触的场所,那些尚未接种疫苗的小狗和成年犬可能会被感染。
宠物主人不负责任是促成犬瘟热不断爆发的另一个因素。小狗从6到8周龄开始接种疫苗,然后每2到4周继续注射“加强剂”,直到16周龄。如果没有全套的接种,疫苗接种将无法预防该病毒。狗主人经常对狗只注射第一针,而不完成全套接种。这些狗就无法抵御病毒,很容易受到犬瘟热感染,这样恶性循环,导致全国各地爆发疫情。[33]
参考资料
- . International Committee on Taxonomy of Viruses (ICTV). [15 January 2019]. (原始内容存档于2021-01-22).
- . The Merck Veterinary Manual. Merck & Co., Inc. 2006 [2008-03-15]. (原始内容存档于2016-03-21).
- . UC Davis Koret Shelter Medicine Program. 2004 [2008-03-15]. (原始内容存档于2008-05-17).
- McCarthy AJ, Shaw MA, Goodman SJ. . Proc. Biol. Sci. December 2007, 274 (1629): 3165–74. PMC 2293938
. PMID 17956850. doi:10.1098/rspb.2007.0884. - Elia G, Belloli C, Cirone F; et al. . Antiviral Res. February 2008, 77 (2): 108–13. PMID 17949825. doi:10.1016/j.antiviral.2007.09.004.
- Pomeroy, L.W.; Bj{o}rnstad, O.N.; Holmes, E.C. (PDF). Journal of Molecular Evolution. 2008, 66 (2): 98–106 [2008-06-02]. PMID 18217182. doi:10.1007/s00239-007-9040-x.
- Moore, V.A. . Taylor \& Carpenter, Ithaca, NY. 1902.
- Assessment, M.E. . World Resources Institute. 2005.
- Jones, T.C.; Hunt, R.D.; King, N.W. . Blackwell Publishing. 1997.
- Nishi T, Tusukiyama-Kohara K, Togashi K,Kai C (January 2004) Involvement of apoptosis in syncytial cell death induced by canine distemper virus Comparative Immunology, Microbiology, and Infectious Diseases 27 (6): 445-455. http://dx.doi.org/10.1016/j.cimid.2004.01.007
- . 2001 [2012-10-29]. (原始内容存档于2011-04-14).
- Carter, G.R.; Flores, E.F.; Wise, D.J. . A Concise Review of Veterinary Virology. 2006 [2006-06-24].
- Hirsch, D.C.; Zee, C.; Others,. . Blackwell Publishing. 1999.
- Appel, M.J.G.; Summers, B.A. . Recent Advances in Canine Infectious Diseases. 1999 [2006-06-24]. (原始内容存档于2005-09-01).
- Dewey, C.W. . Iowa State Pr. 2003.
- Hirsh DC, Zee YC. . Blackwell Publishing. 1999. ISBN 978-0-86542-543-9.
- . Veterinary Insider. [2012-04-09]. (原始内容存档于2012-05-02).
- . Kind Hearts in Action. November 5, 2009 [October 31, 2012]. (原始内容存档于2012-06-25).
- . UC Davis Koret Shelter Medicine Program. [2006-09-26]. (原始内容存档于2008-05-17).
- WELTER, J. Canine distemper virus (CDV) infection of ferrets as a model for testing Morbillivirus vaccine strategies: NYVAC-and ALVAC-based CDV recombinants protect against symptomatic infection. Journal of Virology, 1997, 71:2, p. 1506-1513
- RODENEFFER C.; et al. . Journal of Nutrition: 1916–1922.
- GREEN, HN Vitamin A as an anti-infective agent. The British Medical Journal, 1928.2. p. 691-696
- BELLOLI C.; et al. . Antiviral Research: 108–113.
- JEULIN, H. et al. Effective ribavirin concentration in mice brain using cyclodextrin as a drug carrier: Evaluation in a measles encephalitis model. Antiviral Research, 2009, 81:3, p. 261-266
- MANGIA, S. Tratamento experimental de cães naturalmente infectados com o vírus da cinomose na fase neurológica com o uso de ribavirina e dimetil-sufóxido (DMSO). Botucatu, 2008. Tese (Mestrado) – Faculdade de Medicina Veterinária e Zootecnia, Universidade Estadual Paulista Júlio de Mesquita Filho, 2008
- MARKS, IM et al. Administration of ribavirin with food results in higher and less variable plasma ribavirin concentrations. Journal of Hepatology, 2001. 34:1
- Gordon, M.T.; Anderson, D.C.; Sharpe, P.T. . Bone. 1991, 12 (3): 195–201 [2008-05-05]. PMID 1910961. doi:10.1016/8756-3282(91)90042-H. (原始内容存档于2019-10-14).
- Friedrichs, W.E.; Reddy, S.V.; Bruder, J.; Cundy, T.I.M.; Cornish, J.; Singer, F.R.; Roodman, G.D. . Journal of Bone and Mineral Research. 2002, 17 (1): 145–151. PMID 11771661. doi:10.1359/jbmr.2002.17.1.145.
- Basle, M.F.; Fournier, J.G.; Rozenblatt, S.; Rebel, A.; Bouteille, M. . Journal of General Virology. 1986, 67 (5): 907–913 [2008-05-05]. PMID 3701300. doi:10.1099/0022-1317-67-5-907. (原始内容存档于2008-06-26).
- Hoyland, J.A.; Dixon, J.A.; Berry, J.L.; Davies, M.; Selby, P.L.; Mee, A.P. . Journal of Virological Methods. 2003, 109 (2): 253–259 [2008-05-05]. PMID 12711070. doi:10.1016/S0166-0934(03)00079-X. (原始内容存档于2019-10-14).
- . Arizona Humane Society. [2012-04-09]. (原始内容存档于2012-04-15).
- . ASPCA. [2012-04-09]. (原始内容存档于2013-02-14).
- . MarvistaVet. [2012-04-09]. (原始内容存档于2012-04-21).
.jpg.webp)
