甲狀腺癌
甲狀腺癌(Thyroid cancer)是一個起源於甲狀腺组织的癌症[1],具有遠端轉移的潛能[7][8]。症狀包含頸部腫脹或形成硬塊[1]。必須注意的是,其他地方的腫瘤也可能轉移到甲狀腺,但此類癌症不歸類於甲狀腺癌中[3]。
| 甲狀腺癌 | |
|---|---|
![]() | |
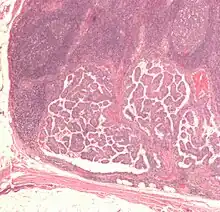
| 乳突狀甲狀腺癌的顯微鏡檢圖,可以看到癌細胞核呈現空亮狀,此特徵又稱為「安妮眼睛核 」,為此類型甲狀腺癌的重要病理特徵。 | |
| 症状 | 頸部腫脹[1] |
| 风险因子 | 輻射暴露、甲状腺肿、遺傳病史[1][2] |
| 診斷方法 | 超聲波、細針抽吸細胞檢查[1] |
| 相似疾病或共病 | 甲狀腺結節、遠端轉移腫瘤[1][3] |
| 治療 | 手術切除、放射線療法、化学疗法、甲状腺激素、靶向治疗、觀察性等待[1] |
| 预后 | 五年存活率 98%(美國)[4] |
| 盛行率 | 3.2 million (2015)[5] |
| 死亡數 | 31,900 (2015)[6] |
| 分类和外部资源 | |
| 醫學專科 | 肿瘤学 |
| ICD-11 | 2D10 |
| ICD-9-CM | 193、239.7 |
| MedlinePlus | 001213 |
| eMedicine | 851968 |
| Orphanet | 100087 |
較常見的原發性甲狀腺癌可分四大類:甲狀腺乳突癌、甲狀腺濾泡癌、甲狀腺髓質癌,以及甲狀腺未分化癌等[3],較少見的原發性甲狀腺癌有许特莱细胞癌、甲狀腺淋巴癌。
症狀及體徵

最常見的甲狀腺癌初期症狀為在頸部的甲狀腺一帶出現小小的甲狀腺小腫塊[9]。然而,許多成人的甲狀腺上也都有小肉塊,而絕大多數的小肉塊都是良性的(benign tumour),只有5%的小肉塊是惡性腫瘤。有時甲狀腺癌候第一個症狀會是腫大的淋巴結。第二個症狀則是脖子前半部的疼痛以及聲音的改變。聲音的改變往往暗示著癌細胞已經入侵喉返神經。
甲狀腺癌經常出现在甲狀腺功能正常的人身上。不過若有甲状腺功能亢进或甲狀腺機能低下的症狀,可能暗示著甲狀腺癌的病灶(腫瘤)的尺寸已大到壓迫到甲狀腺使得甲狀腺功能出現異常、或癌症已開始轉移。
特別注意的是,小於二十歲出現甲狀腺小腫塊的人。因為甲狀腺的良性贅生物通常不會出現在這個年紀。因此這類小贅生物比較可能會是惡性。
流行病學
2015年,全球約有320萬人罹患甲狀腺癌[5],2012年,約有298,000例新診斷病例[10]。甲狀腺癌最常發生於35至65歲之間,其中女性患者較男性為多[4]。另外亞裔罹患此病風險也較高[3]。後來甲狀腺癌的發生率越來越高,這可能肇因於診斷技術的進步[10]。2015年,約有31,900人死於甲狀腺癌[6]。
病因及風險因子
一般認為甲狀腺癌與先天基因及後天環境因子的交互作用有關,然而確切的病因尚未確定。風險因子包含幼年期輻射暴露、甲状腺肿,以及家族病史[1][2]。
研究人員懷疑暴露於天然或人工游離輻射有可能在甲狀腺細胞突變中扮演重大的角色。其他受到懷疑的致病因子為:暴露於一定劑量碘-131中(例如:福岛第一核电站事故[11]、克什特姆核廢料爆炸事故、溫斯喬火災[12]等核災[13]),及暴露於治療淋巴瘤用的斗篷射野放疗(mantlefield radiation)中。
甲狀腺發炎和其他甲狀腺症狀也容易發展成為甲狀腺癌[12][14]。
包含多發性內分泌腫瘤類型2在內的基因因素會顯著增加甲狀腺罹癌率,特別是較少見的髓型疾病(medullary form of the disease)[15]。
治療
抑制惡性甲狀腺癌最有效的方式為手術切除甲狀腺的外科切除、放射線療法(包含放射碘療法)、化学疗法、甲状腺激素、靶向治疗,以及等待觀察[1]。手術可以切除部分或完全切除所有甲狀腺[3]。在美國,該病的五年存活率可達98%[4]。
參考資料
- . National Cancer Institute. 2017-04-27 [2017-07-18]. (原始内容存档于2017-07-15) (英语).
- Carling, Tobias; Udelsman, Robert. . Annual Review of Medicine. 2014-01-14, 65 (1) [2022-10-29]. ISSN 0066-4219. PMID 24274180. doi:10.1146/annurev-med-061512-105739. (原始内容存档于2022-10-29) (英语).
- . National Cancer Institute. 2017-05-12 [2017-07-18]. (原始内容存档于2017-07-16) (英语).
- . seer.cancer.gov. [2017-07-18]. (原始内容存档于2017-07-15) (英语).
- Vos, Theo; Allen, Christine; Arora, Megha; Barber, Ryan M.; Bhutta, Zulfiqar A.; Brown, Alexandria; Carter, Austin; Casey, Daniel C.; Charlson, Fiona J.; Chen, Alan Z.; Coggeshall, Megan. . The Lancet. 2016-10-08, 388 (10053) [2022-10-29]. ISSN 0140-6736. PMC 5055577
. PMID 27733282. doi:10.1016/S0140-6736(16)31678-6. (原始内容存档于2019-12-07) (英语). - Wang, Haidong; Naghavi, Mohsen; Allen, Christine; Barber, Ryan M.; Bhutta, Zulfiqar A.; Carter, Austin; Casey, Daniel C.; Charlson, Fiona J.; Chen, Alan Zian; Coates, Matthew M.; Coggeshall, Megan. . The Lancet. 2016-10-08, 388 (10053). ISSN 0140-6736. PMC 5388903
. PMID 27733281. doi:10.1016/S0140-6736(16)31012-1 (英语). - . World Health Organization. February 2014 [2014-06-10]. (原始内容存档于2010-12-29).
- . National Cancer Institute. [2014-06-10]. (原始内容存档于2014-06-25).
- . Cancer Network. [2022-10-29]. (原始内容存档于2022-10-29) (英语).
- . World Health Organization. 2014: Chapter 5.15. ISBN 9283204298.
- . National Cancer Institute. [2014-06-09]. (原始内容存档于2014-05-19).
- . US National Library of Medicine. [2017-03-02]. (原始内容存档于2017-09-10).
- . ScienceAlert. [2016-01-15]. (原始内容存档于2016-01-19).
- Pacini, F.; Castagna, M. G.; Brilli, L.; Pentheroudakis, G. . Annals of Oncology. 2010-05-01, 21. ISSN 0923-7534. doi:10.1093/annonc/mdq190 (英语).
- . National Cancer Institute. [2014-06-09]. (原始内容存档于2014-07-04).
- US Preventive Services Task Force; Bibbins-Domingo, Kirsten; Grossman, David C.; Curry, Susan J.; Barry, Michael J.; Davidson, Karina W.; Doubeni, Chyke A.; Epling, John W.; Kemper, Alex R.; Krist, Alex H.; Kurth, Ann E. . JAMA. 2017-05-09, 317 (18). ISSN 0098-7484. PMID 28492905. doi:10.1001/jama.2017.4011 (英语).
外部連結
- Thyroid cancer at DMOZ (页面存档备份,存于)
- Cancer Management Handbook: Thyroid and Parathyroid Cancers (页面存档备份,存于)
- Haugen, Bryan R.; Alexander, Erik K.; Bible, Keith C.; Doherty, Gerard M.; Mandel, Susan J.; Nikiforov, Yuri E.; Pacini, Furio; Randolph, Gregory W.; Sawka, Anna M.; Schlumberger, Martin; Schuff, Kathryn G. . Thyroid. 2016-01, 26 (1) [2022-10-29]. ISSN 1050-7256. PMC 4739132
. PMID 26462967. doi:10.1089/thy.2015.0020. (原始内容存档于2022-10-07) (英语). - Thyroid cancer statistics from Cancer Research UK (页面存档备份,存于)
- International Thyroid Oncology Group (ITOG), a non-profit group devoted to performing clinical trials to advance cures for thyroid cancer. (页面存档备份,存于)
.jpg.webp)