肋骨骨折
肋骨骨折(英語:),是指發生在肋骨的骨折[1],通常隨呼吸起伏而引起胸痛[1];骨折處可能出現瘀傷[3]。若多根肋骨骨折時,可能導致連枷胸[4]。其潛在的併發症為氣胸、肺挫傷和肺炎等[2][1]。
| 肋骨骨折 | |
|---|---|
| 同义词 | 肋骨斷裂 |
![]() | |
| 胸部X光片可以看到患者左胸紅圈處有多節陳舊性肋骨骨折 | |
| 症状 | 吸氣時疼痛加劇[1] |
| 併發症 | 肺挫伤、氣胸、肺炎[1][2] |
| 肇因 | 胸部创伤[2] |
| 診斷方法 | 症狀、醫學影像[3] |
| 藥物 | 对乙酰氨基酚、非甾体抗炎药(NSAID)、鴉片類藥物[2] |
| 预后 | 疼痛症狀通常會在6周內改善[3] |
| 盛行率 | 常見[2] |
| 分类和外部资源 | |
| 醫學專科 | 急診醫學 |
| ICD-11 | NA82.3 |
| ICD-10 | S22.3、S22.4 |
| DiseasesDB | 11553 |
| eMedicine | 825981 |
肋骨骨折通常肇因於患者胸部直接遭受鈍力傷害,例如遭遇交通事故或發生輾壓傷[2][1],亦可能因為咳嗽或遠端轉移而導致[1]。最常骨折的部位為中間的肋骨[5][1];第一根或第二根肋骨骨折則是最常見有併發症發生[6]。通常根據臨床症狀輔以醫學影像來診斷[3]。
疼痛管理為治療最重要的一環[7],可能會採用對乙醯胺基酚、非類固醇抗發炎藥或鴉片類藥物[1]。採用神經阻斷也是一種方法[1]。連枷胸的患者接受手術有助於改善預後[8][9]。本疾病為常見的創傷傷害[10]。
病因
肋骨骨折可能是在從事休閒活動時,因遭受直接或間接的外力撞擊所導致。接受心肺復甦術也會造成胸廓受傷,像是肋骨骨折、胸骨骨折等;肋骨骨折也可能因患病所導致,例如罹患癌症或類風濕性關節炎等病症。年長者可能因跌倒而導致肋骨骨折,但成人最常見的成因為發生車禍事故[11]。
診斷
肋骨骨折的病徵如下[12]:
- 吸氣時疼痛加劇
- 胸部腫脹
- 胸部瘀青
- 呼吸短促
- 咳血(可能是肋骨刺傷肺臟)
照X光可確定位移性骨折,但是往往容易忽略無位移的骨折[13];以電腦斷層檢查可確定這兩種骨折[13]。 因為兒童的肋骨較成人有彈性,所以較可能彎曲而非直接折斷,因此當兒童患者發生肋骨骨折,代表其遭受劇烈的撞擊,同時也表示患者胸部很可能有重大傷害,如發生肺部挫傷[4]。年長者會發生肋骨骨折,也表示曾遭受較嚴重的外傷[14]。
第三肋、第四肋、第五肋骨的骨折
右側氣胸以及肋骨骨折
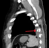
矢狀面的電腦斷層影像顯示有兩根肋骨骨折
治療
肋骨骨折並沒有特定的治療方式,但是有多種輔助性的措施。比較單純的肋骨骨折者,胸痛可能會讓患者減少活動和避免咳嗽,然而這可能導致次發性的胸部感染[15]。連枷胸這種傷害有危及性命的潛在性;患者往往需要一段時間的呼吸輔助[16]。連枷胸和第一肋骨骨折通常肇因於高能量的撞擊,需要仔細檢查是否有潛在的臟器傷害,如肺臟挫傷,或是相對比較遠端的傷害,如頸椎傷害。自發性的骨折者,如果患者是運動員,通常需要避開成因,如避免丟球,同時注意維持心血管健康。
參見
- 肺部清潔
參考文獻
- (E-Book). Elsevier Health Sciences. 2013: 1567. ISBN 978-0323112581. (原始内容存档于2017-10-13) (英语).
- May, L; Hillermann, C; Patil, S. . BJA Education. January 2016, 16 (1): 26–32. doi:10.1093/bjaceaccp/mkv011
. - Adams, James G. . Elsevier Health Sciences. 2012: 682. ISBN 978-1455733941. (原始内容存档于2017-10-13) (英语).
- Wanek, Sandra; Mayberry, John C. . Critical Care Clinics. 2004, 20 (1): 71–81. PMID 14979330. doi:10.1016/S0749-0704(03)00098-8.
- Nanni, Christina. . Springer. 2012: 257. ISBN 978-3-642-24698-2.
- Murphy CE, 4th; Raja, AS; Baumann, BM; Medak, AJ; Langdorf, MI; Nishijima, DK; Hendey, GW; Mower, WR; Rodriguez, RM. (PDF). Annals of Emergency Medicine. 27 May 2017, 70 (6): 904–909 [2022-04-24]. PMID 28559032. S2CID 23442272. doi:10.1016/j.annemergmed.2017.04.011. (原始内容 (PDF)存档于2020-03-14).
- Brown, SD; Walters, MR. . Journal of Trauma Nursing. 2012, 19 (2): 89–91; quiz 92–03. PMID 22673074. S2CID 45547470. doi:10.1097/JTN.0b013e31825629ee.
- Schuurmans, J; Goslings, JC; Schepers, T. . European Journal of Trauma and Emergency Surgery. April 2017, 43 (2): 163–68. PMC 5378742
. PMID 27572897. doi:10.1007/s00068-016-0721-2. - Coughlin, TA; Ng, JW; Rollins, KE; Forward, DP; Ollivere, BJ. . The Bone & Joint Journal. August 2016, 98–B (8): 1119–25. PMID 27482027. doi:10.1302/0301-620X.98B8.37282.
- Senekjian, L; Nirula, R. . Critical Care Clinics. January 2017, 33 (1): 153–65. PMID 27894495. doi:10.1016/j.ccc.2016.08.009.
- Rib Fracture 於 eMedicine
- . NHS.UK. 2015 [15 August 2015]. (原始内容存档于20 August 2015).
- Dennis, BM; Bellister, SA; Guillamondegui, OD. . The Surgical Clinics of North America. October 2017, 97 (5): 1047–1064. PMID 28958357. doi:10.1016/j.suc.2017.06.009.
- Kent, Richard; Woods, William; Bostrom, Ola. . Annals of Advances in Automotive Medicine / Annual Scientific Conference. 2008-01-01, 52: 73–84. ISSN 1943-2461. PMC 3256783
. PMID 19026224. - Morice, A H; McGarvey, L; Pavord, I. . Thorax. 2006, 61 (Suppl 1): i1–24. PMC 2080754
. PMID 16936230. doi:10.1136/thx.2006.065144. - Paul, Pauline; Williams, Beverly. . Lippincott Williams & Wil. 2009-01-01: 637. ISBN 9780781799898. (原始内容存档于2016-06-29) (英语).
- Ökmen, K. . The Korean Journal of Pain. 1 April 2019, 32 (2): 129–132. PMC 6549589
. PMID 31091512. doi:10.3344/kjp.2019.32.2.129. - Wardhan, R. . Current Opinion in Anesthesiology. October 2013, 26 (5): 626–31. PMID 23995061. S2CID 35082310. doi:10.1097/01.aco.0000432516.93715.a7.
- Grant, Stuart A.; Auyong, David B. . Oxford University Press. 2016: PT388 [2022-07-12]. ISBN 9780190630478. (原始内容存档于2021-08-29) (英语).
- Riley, B.; Malla, U.; Snels, N.; Mitchell, A.; Abi-Fares, C.; Basson, W.; Anstey, C.; White, L. . The American Journal of Emergency Medicine. 2020, 38 (8): 1689–1691. PMID 31932127. S2CID 210194417. doi:10.1016/j.ajem.2020.01.007 (英语).
- White, L.; Riley, B.; Malla, U.; Snels, N.; Mitchell, A.; Abi-Fares, C.; Basson, W.; Anstey, C. . The American Journal of Emergency Medicine. 2020-08-15, 38 (10): 2221–2223. ISSN 0735-6757. PMID 32843243. S2CID 221328812. doi:10.1016/j.ajem.2020.08.004 (英语).
- White, L. D.; Riley, B.; Davis, K.; Thang, C.; Mitchell, A.; Abi-fares, C.; Basson, W.; Anstey, C. . Anesthesia & Analgesia. 2021, 133 (5): 1296–1302 [2022-07-12]. ISSN 0003-2999. PMID 34473654. S2CID 237400070. doi:10.1213/ANE.0000000000005730. hdl:10072/407871
. (原始内容存档于2021-09-04). - Fitzpatrick, D. C.; Denard, P. J.; Phelan, D.; Long, W. B.; Madey, S. M.; Bottlang, M. . European Journal of Trauma and Emergency Surgery. 2010, 36 (5): 427–33. PMC 3150812
. PMID 21841954. doi:10.1007/s00068-010-0027-8. - Mathison, Douglas. . Walters-Kluwer Health. 2014 [15 August 2015]. ISBN 978-1-46988-903-0. (原始内容存档于12 May 2016).肋骨骨折載於Google圖書
- Browner, Bruce D. . Elsevier Health Scien. 2009-01-01: 1418. ISBN 978-1416022206. (原始内容存档于2016-05-08) (英语).
- de Jong, M. B.; Kokke, M. C.; Hietbrink, F.; Leenen, L. P. H. . Scandinavian Journal of Surgery. 2014, 103 (2): 120–25. PMID 24782038. S2CID 11113635. doi:10.1177/1457496914531928.
