间质细胞瘤
间质细胞瘤(英語: 或),是一种隶属于卵巢肿瘤或睾丸肿瘤下的一类性索间质肿瘤[1]。它是由间质细胞病变引起,肿瘤可能发生于任何年龄段,但主要以青年人为主。
| 间质细胞瘤 | |
|---|---|
![]() | |
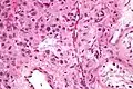
| 低度显微镜下的间质细胞瘤成像 | |
| 类型 | 性腺间质肿瘤、Leydig cell tumor[*] |
| 分类和外部资源 | |
| 醫學專科 | 肿瘤学、內分泌學 |
| ICD-9-CM | 183.0, 256.1 |
| ICD-O | 8631 |
| DiseasesDB | 7445 |
| MedlinePlus | 000409 |
| MeSH | D007984 |
症状
大多数间质细胞瘤发现于男性患者,通常是5至10岁期间,或者中年(30岁至60岁)。儿童通常会表现为性早熟。由于肿瘤产生过度的睾丸激素,三分之一的女性患者都有伴有一定情况的男性化。男性化过程之前,病人会出现停止排卵、月经过少、闭经及失雌性态。其他症状包括有寻常痤疮、多毛症、声音变粗、阴蒂肥大、颞发衰退和肌肉组织增强等。此外睾丸内睾酮指数很高。
诊断
卵巢肿瘤伴有内分泌紊乱症状,通常暗示间质细胞瘤、卵巢颗粒细胞瘤和泡膜细胞瘤的存在。但是,内分泌紊乱症状在间质细胞瘤中只占有2/3的病例。所以,必须通过术中及术后的病理分析,才能做出最终的确定诊断。
间质细胞瘤的免疫组织的化学标记包括有抑制素α蛋白、钙网膜蛋白和黑色素A[2]。
治疗
常见的间质细胞瘤治疗方式是手术。
其他图片
中度显微镜下的间质细胞瘤成像
高度显微镜下的间质细胞瘤成像
参考
- Sachdeva P, Arora R, Dubey C, Sukhija A, Daga M, Singh DK. . Gynecol. Endocrinol. April 2008, 24 (4): 230–4. PMID 18382911. doi:10.1080/09513590801953465.
- Ulbright TM, Srigley JR, Hatzianastassiou DK, Young RH. . Am. J. Surg. Pathol. November 2002, 26 (11): 1424–33 [2013-10-10]. PMID 12409718. doi:10.1097/00000478-200211000-00004. (原始内容存档于2012-05-05).
- Lenhard M, Kuemper C, Ditsch N, Diebold J, Stieber P, Friese K, Burges A. . Clin. Chem. Lab. Med. 2007, 45 (5): 657–61 [2013-10-10]. PMID 17484630. doi:10.1515/CCLM.2007.120. (原始内容存档于2020-03-13).
- Al-Agha OM, Axiotis CA. . Arch. Pathol. Lab. Med. February 2007, 131 (2): 311–7. PMID 17284120. doi:10.1043/1543-2165(2007)131[311:AILALC]2.0.CO;2.
- . 美国癌症学会. [2013-10-12]. (原始内容存档于2016-12-07).
This article is issued from Wikipedia. The text is licensed under Creative Commons - Attribution - Sharealike. Additional terms may apply for the media files.
